Alternativa - odabrano iz prirode

Vodič kroz alternativu i uštedu

Regeneracija matičnih stanica

Evo najmoćnijeg preparata iz ovojnice oplođenog jajeta za regeneraciju i obnovu životne sile. Mnoštvo svjedočanstava o djelotvornosti .


Pogledajte i neka iskustva


Prisustvujte predavanjima o Laminine-u u Zagrebu, Rijeci...


Bio preparati jeftinije i 60%

Za vas smo našli najpovoljniji portal za online naručivanje .




Nove poslovne mogućnosti za sve, a posebno za alternativce




Radionice kineske tradicionalne medicine:

  • 10.12.2016. Zagreb
Predbilježbe na:

091/ 534 3844





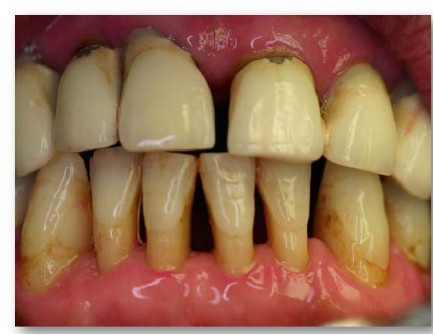
Zdravi zubi temelj zdravlja

Brinite o svojim zubima na vrijeme. Čak i kada vam se čini da je sve u redu, a imunitet vam je pao i ne možete ga povratiti prvo je prekontolirati sve korijene zuba da nema upalnih procesa.

Parodontitis povećava rizik od moždanog udara za 7 puta, srčanog udara za 2-3 puta, dijabetes za 10 puta, prijevremenog poroda do 7 puta, artritisa i reume do 6 puta. (Izvor: nekoliko međunarodnih studija)

Više od 27 milijuna Nijemaca pogođeni podmuklom upalom trenutno samo oko 950.000 dobivaju godišnje liječenje. 97% pogođenih ostaju neliječeni i trpe različite posljedične štete koje idu dalje od rizika gubitka zuba i vrlo negativno utječu na cjelokupno ustrojstvo tijela i općeg zdravlja.

Kroz krvarenja desni, dentalne bakterije završe u krvotoku i na taj način je doakazano da je gingivitis i parodontitis već desetljećima svjetska pošast broj 1.

ULTRAZVUČNA ČETKICA ZA ZUBE -  NAJBOLJI IZBOR


Za razliko od čišćenja kamenca kod zubara, ultrazvučni valovi su slabiji i ne oštećuju caklinu, no ubijaju bakterije, umanjuju loš zadah te sprečavaju infekcije

Više od 75 posto odraslih ljudi ima neki oblik bolesti desni, mada se to stanje u potpunosti može spriječiti, pokazuju studije američkog Udruženja stomatologa. Znanstvenici tvrtke Emmi-Tech Inc. tvrde da napokon imaju jednostavno i učinkovito rješenje za problem bolesti desni - prvu svjetsku Emmi-Dent ultrazvučnu četkicu za pranje zubi, prenosi Fox News.

Njezin je pogon 100 posto ultrazvučni, pa nije uopće potrebno četkati zube da bi ih se očistilo.

Bez konkurencije na tržištu. Naručite svoj termin za testiranje:


Za detaljnije informacije nazovite na mob:  091 592 4193

Dogovorite termin i testirajte četkicu na sebi!!!!!!

Registrirajte se besplatno i postanite povlašteni kupac (-10% i druge pogodnosti) : registracija

Možete naručiti  online : detaljnije

Cijena: 165,90 eura





  • Učinkovito uklanjanje nečistoća i bakterija na zubima i između zubi, na zubnom tkivu i zubnim džepovima. 
  • Ultrazvuk i mikro-mjehurići ultrazvučne kreme u kratkom vremenu uklanjaju mrlje na zubima. 
  • Emmi-dental Metallic Club Nature Antracit pobrinut će se za svjež dah i do dvanaest sati.
  • Maksimalni učinak čišćenja, bez potrebe za četkanjem. Idealno za djecu koja ne vole pranje zubi. Pogotovo ako nose aparatić.
  • Pogodno za osobe s implantatima ili krunama.
  • Dodatno u opsegu isporuke: 1 pakiranje Emmi-dent Ultrazvučna zubna krema Nature.  

Za detaljnije informacije nazovite na mob:  091 592 4193

Dogovorite termin i testirajte četkicu na sebi!!!!!!

Možete naručiti i online : detaljnije

Cijena: 165,90 eura

Saznajte kako dobiti i 10% popusta.



Ultrazvučna četkica za pse: detaljnije


Ultrazvuk u Emmi Dent

- Uništava plak i naslage na zubima
- Djeluje kod upala i krvarenja desni, parodontoze i herpesa
- Čisti bez pokreta - bez četkanja, ribanja i pritiska
- Uništava klice i bakterije do 12 mm duboko u zubno meso
- Povećava prokrvljenost zubnog mesa i time aktivira proces zalječenja
- Idealan kod osjetljivih desni, otvorenih zubnih vratova, implantata i špangi
- Djeluje trajno protiv neugodnih zadaha